RESEARCH
Hybrid Tumor of the Parotid Gland: A Case Report and Review of the Literature
Original Link: ncbi.nlm.nih.gov/pmc/articles/PMC4359867 February 9 2015 print
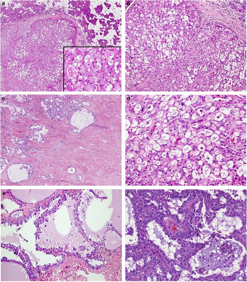
The parotid gland is the most usual location of benign neoplasms affecting major salivary glands and quite often the recurrence of these tumors is noticed, especially in the case of pleomorphic adenoma. When synchronous tumors of the parotid gland are encountered, the most common histology is that of multiple Warthin’s tumors [1]. Multifocal primary tumor (MPT) in the parotid gland is a rare phenomenon [2, 3]; when it occurs, the most common combination is Warthin tumor and a pleomorphic adenoma [4, 5]. Hybrid carcinomas of the salivary gland are a recently defined and rare tumor entity, consisting of two histologically distinct types of carcinoma within the same topographic location [6]. Hybrid tumors must also be distinguished from the multiple occurrences of salivary gland tumors which can develop syn- or metachronously. To our knowledge, no cases in the literature mentioned the occurrence of a hybrid tumor consisting of three different carcinomas in a single parotid gland.
A 51-year-old male patient, smoker, known to have diabetes insipidus type II, presented with a large deforming right hemifacial mass growing progressively over a period of 10 years, measuring 11 × 14 × 6 cm extending from the level of the right temporalis muscle above the zygomatic arch superiorly, down to the level of the mandible inferiorly, medially extending to the right lateral epicanthal fold, and laterally abutting the right external auditory meatus. The mass was firm, fixed but not tender, rubbery consistent with no overlying skin changes. Weakness was noted over the right eyebrow and right lower lip. No trismus or respiratory distress was present. Oral exam was unremarkable and a fiberoptic flexible laryngoscopy showed no narrowing of the nasopharyngeal, oropharyngeal, or hypopharyngeal walls. Narrowing of the right external auditory canal was evident on otoscopic exam. To note that the patient underwent a previous surgery in an outside hospital in attempt of removing the tumor bulk but the resection was minimal and a small portion of the tumor was removed, no pathological studies were taken at the time.
2.1. At Our Center. CT scan of the brain and neck showed 11 × 6.2 × 14.5 cm heterogeneously enhancing right parotid mass with areas of necrosis, involving the deep lobe of the parotid gland. It is invading the lateral aspect of the masticator space, right temporomandibular joint, and external auditory canal causing narrowing of the latter and extending superiorly into the temporalis muscle and involving the masseter muscle (Figure 1).The parapharyngeal space appears normal.There is erosion of the right zygomatic arch and a few subcentimetric lymph nodes surrounding the parotid mass posteriorly. A fine needle aspirate was done showing a picture suggestive of pleomorphic adenoma.
The decision was made to surgically excise the mass. An extended right radical parotidectomy with excision of a portion of temporalis muscle, part of the masseter muscle, and zygomatic arch was made. Intraoperatively, the facial nerve was disappearing into tumor and was completely encased and invaded by tumor; a frozen section biopsy taken intraoperatively demonstrated high suspicion of malignancy, so the decision was made to sacrifice the facial nerve...